| Характеристики Constic A2 -самопротравливающий и | |
| Цвет | A2 |
| Форма выпуска | Шприц |
| Особенность | Самопротравливающийся и самоадгезивный |
| Специализация | Терапия |
Ключевые особенности и преимущества
|
Композит 3-в-1: |
Широкая |
Отличная |
Естественная |
Рентгеноконтрастный |
Текучий композитный материал светового отверждения 3-в-1 DMG Constic сочетает в себе протравливающий гель, адгезив и текучий композит для особенно экономного, быстрого и безопасного лечения с минимальным дискомфортом после процедуры.
Композит Constic A2 Constic отлично протравливает и обеспечивает одинаково прочное сцепление с эмалью и дентином без применения каких-либо дополнительных средств. Материал рентгенонтрастен и отличается широкой сферой применения - от прямых реставрации на постоянных и молочных зубах до герметизации фиссур, устранения поднутрений и применения в качестве прокладочного материала.
Благодаря конусообразной форме накладная кисточка для композита Constic DMG обеспечивает полный доступ даже к глубоким фиссурам.
У нас вы можете купить жидкотекучий композит Constic A2 DMG по доступной цене.
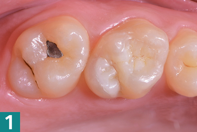
![]() Начальная ситуация - пломба из амальгамы на жевательной поверхности |
![]() Полость I класса по Блэку |
![]() Внесение композита Constic при помощи наконечника Luer-Lock |
![]() Втирание композита при помощи щетки |
![]() Удаление излишков материала вспененным полиэтиленом |
![]() Световая полимеризация первого слоя |
![]() Внесение второго слоя композита |
![]() Световая полимеризация второго слоя |
![]() После контурирования зондом |
![]() Обработка полиром |
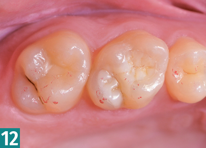
![]() Реставрация после финишной полировки |
![]() Проверка окклюзии |
Показания к применению
Противопоказания
Рекомендации по применению
Фотополимеризационные лампы должны иметь длину волны исходящего света 450 нм и интенсивность излучения не менее 600 мВт/см2. Размещайте фотополимеризационную лампу
максимально близко к материалу.
Не удаляйте ингибированный кислородом слой, поскольку он необходим для связывания со следующим слоем.
Характеристики
Цвет композита
A2

Производитель
DMG Chemisch-Pharmazeutische Fabrik GmbH, Германия
Комплект поставки
Инструкция по применению
Нажмите на картинку, чтобы посмотреть инструкцию
Поделитесь своим мнением
Ваш отзыв поможет сделать выбор другим покупателям
Мы отправим на Ваш e-mail письмо, как только товар появится на нашем складе. Как работают подписки?